Необычный клинический случай гемоторакса на фоне длительного кашля

Гемоторакс – это скопление крови в плевральной полости обычно в результате тупой или проникающей травмы грудной клетки. Однако, иногда гемоторакс развивается на фоне длительного сильного кашля, который может стать причиной перелома ребер.

Главная
Статьи
Необычный клинический случай гемоторакса на фоне длительного кашля
294

Хотя основной причиной переломов ребер является травма, в более редких случаях они могут возникать из-за длительного кашля. Еще реже при нетравматических переломах ребер развивается гемоторакс – потенциально жизнеугрожающее осложнение. В журнале Case Reports in Pulmonology был описан клинический случай отсроченного гемоторакса у пациента с сильным кашлем, вызвавшим перелом ребра.

Описание клинического случая

Мужчина 57 лет с ожирением и артериальной гипертензией в анамнезе обратился с жалобами на продуктивный кашель в течение 2-х недель и сильную боль в левой половине грудной клетки, которая усиливалась при кашле и движении. Пациент сообщил о периодических приступах кашля с выделением небольшого количества желтоватой мокроты, которые сопровождались ознобом и другими симптомами лихорадки. До этого он принимал азитромицин, преднизон, бензонатат и гвайфенезин. Данное лечение оказалось неэффективным, поэтому спустя 3 дня ему были назначены ингаляции альбутерола. Через несколько дней у пациента развилась сильная боль в левой половине грудной клетки, которая имела плевритический характер и усиливалась при кашле и движении. Ему был назначен циклобензаприн, парацетамол и ледяные компрессы.

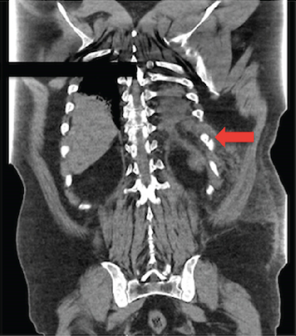
Спустя два дня он вновь обратился в клинику по причине выраженной боли в груди. При физикальном обследовании была выявлена ​дыхательная недостаточность легкой степени, умеренная гипертензия, тахикардия и тахипноэ (ЧДД 22 вдоха/мин) с сатурацией кислорода 95% на воздухе, экхимозы и болезненность в левой нижней части грудной клетки, а также двусторонние хрипы, наиболее выраженные в нижнем отделе левого легочного поля. Лабораторные исследования показали лейкоцитоз со сдвигом влево (18 000/ мкл), умеренную гипонатриемию (134 ммоль/л), гиперхлоремию (117 ммоль/л) и повышение СОЭ (30 мм/ч). Тест на SARS-CoV-2 был отрицательным. Рентгенография грудной клетки выявила узловые затемнения в левой нижней доле легкого без выпота. КТ грудной клетки (рис. 1) показала минимально смещенный перелом X ребра и небольшое скопление жидкости и ателектаз слева.

Рисунок 1. КТ-снимок грудной клетки в коронарной проекции (при поступлении) показывает минимально смещенный поперечный перелом X ребра (красная стрелка).

У пациента были взяты посевы крови и мокроты, определен уровень прокальцитонина и проведены лабораторные тесты для выявления возбудителя пневмонии. В связи с подозрением на вторичную бактериальную инфекцию эмпирически назначен цефтриаксон, а для купирования боли – морфин. Пациент был госпитализирован для дальнейшего обследования и лечения. Результаты бакпосевов были отрицательными, но удалось обнаружить частицы аденовируса и риновируса. Из-за подозрения на сопутствующий астматический бронхит, пациенту были назначены метилпреднизолон, ипратропиум-альбутерол и ингаляции будесонида. На пятый день пребывания в клинике усилились симптомы дыхательной недостаточности и боль в левой части грудной клетки. Повторная КТ выявила выраженный левосторонний гемоторакс (рис. 2).

Рисунок 2. КТ-снимок грудной клетки в аксиальной проекции (на 5-й день госпитализации) показывает большое скопление жидкости слева (красная стрелка), без ушибов.

При участии кардиоторакальных хирургов пациенту был установлен дренаж в грудную полость, благодаря чему удалось откачать 1100 мл крови. Через сутки после установки дренажа уровень гемоглобина у пациента снизился с 12,9 г/дл до 10,1 г/дл. Несмотря на то, что анализ плевральной жидкости не проводился, был поставлен диагноз травматического гемоторакса, на что указывал большой объем откачанной крови, быстрое снижение уровня гемоглобина после процедуры и особенности клинической картины. После установки дренажа состояние пациента постепенно улучшилось. После удаления дренажа пациент был выписан с назначением анальгетиков и последующим амбулаторным наблюдением. Визуализационные исследования, проведенные перед выпиской, показали разрешение гемоторакса.

Выводы авторов

Особенность данного случая состоит в том, что гемоторакс развился через 5 дней после выявления перелома ребра, что может указывать на постепенное повреждение сосудов под влиянием воспаления и инфекции. Несмотря на отсутствие анализа плевральной жидкости, подтвердить диагноз удалось поставить на основании большого объема дренированной крови и клинических проявлений, в том числе быстрого снижения уровня гемоглобина на 2,8 г/дл через день после установки дренажной трубки в грудную полость. Такая клиническая ситуация подчеркивает важность постоянного мониторинга состояния у пациентов с переломами ребер и длительным/сильным кашлем во избежание задержки в лечении. Раннее выявление и своевременные вмешательства, например, дренирование грудной полости и стабилизация гемодинамики, имеют решающее значение для предотвращения опасных для жизни осложнений.

Справочная информация

Гемоторакс, определяемый как скопление крови в плевральной полости, чаще всего связан с тупой или проникающей травмой грудной клетки. Нетравматические причины встречаются реже и включают злокачественные новообразования, легочные артериовенозные фистулы, коагулопатии и сосудистые аномалии. Пациенты обычно жалуются на острую колющую боль в груди на фоне симптомов дыхательной недостаточности и гемодинамических нарушений, что указывает на особую важность своевременной диагностики.

В свою очередь, переломы ребер возникают, в основном, в результате тупой травмы грудной клетки, но также могут быть следствием злокачественных новообразований и метаболических нарушений, снижающих плотность костной ткани. Еще один вид переломов данной локализации – стрессовые, вызванные сильным или длительным кашлем (чаще встречаются у женщин в постменопаузе). Переломы ребер могут сопровождаться такими осложнениями, как пневмоторакс, флотирующая грудная клетка, ушиб легких и, реже, гемоторакс, который следует подозревать у пациентов с ухудшением респираторных симптомов или плевритической болью в груди.

 

Источник: Villegas Md K, Aiken Md A, Halabiya Md M, Ismail Md M. Delayed-Onset Hemothorax Following Cough-Induced Rib Fracture. Case Rep Pulmonol. 2025 Apr 3;2025:7977884. doi: 10.1155/crpu/7977884. PMID: 40225698; PMCID: PMC11991826.

Другие статьи

Листай дальше, чтобы увидеть все статьи

Синдром Педжета-Шретера: тромбоз глубоких вен у здоровых людей

Синдром Педжета-Шретера представляет собой тромбоз глубоких вен верхних конечностей (подмышечной или подключичной вены) вследствие повторяющихся физич...
Читать статью

Необычный клинический случай гемоторакса на фоне длительного кашля

Гемоторакс – это скопление крови в плевральной полости обычно в результате тупой или проникающей травмы грудной клетки. Однако, иногда гемоторак...
Читать статью

Принципы ведения пациентов с бессимптомной бактериурией

Бессимптомная бактериурия характеризуется наличием бактерий в правильно собранной моче пациента и отсутствием признаков инфекции мочевыводящих путей (...
Читать статью

Синдром Фелти: актуальные подходы к диагностике и лечению

Синдром Фелти (СФ) – редкое осложнение серопозитивного ревматоидного артрита (РА) в виде нейтропении и спленомегалии. Снижение числа нейтрофилов...
Читать статью

Ангиодисплазия кишечника: современный взгляд на клиническую проблему

Ангиодисплазия кишечника характеризуется наличием извилистых, расширенных мелких кровеносных сосудов в слизистой и подслизистой оболочках этого отдела...
Читать статью

Лекарственный колит после приема ибупрофена: редкий клинический случай

Нестероидные противовоспалительные препараты (НПВП) входят в число наиболее часто назначаемых лекарственных средств благодаря их эффективности в купир...
Читать статью

Принципы диагностики синдрома Ади

Синдром Ади (синдром Холмса-Ади) – расстройство неизвестной этиологии, которое характеризуется диссоциацией реакций на свет и аккомодацию. Чаще ...
Читать статью

Гигантоклеточный артериит как причина головных болей у пожилого пациента

Гигантоклеточный артериит (ГКА) – распространенное заболевание среди лиц старше 50 лет (чаще женщин), которое поражает преимущественно крупные и...
Читать статью

Современные подходы к диагностике и лечению акромегалии

Акромегалия – редкое эндокринное заболевание, вызванное повышенной выработкой соматотропного гормона (СТГ). Ежегодно в мире регистрируется около...
Читать статью

Лагофтальм: основные принципы диагностики и лечения

Лагофтальм – нарушение функции смыкания век, вследствие чего глазная щель остается приоткрытой. Выделяют множество причин лагофтальма, среди кот...
Читать статью