Гигантоклеточный артериит как причина головных болей у пожилого пациента

Гигантоклеточный артериит (ГКА) – распространенное заболевание среди лиц старше 50 лет (чаще женщин), которое поражает преимущественно крупные и средние артерии. Головная боль является одним из наиболее частых и важных симптомов этой патологии.

Главная
Статьи
Гигантоклеточный артериит как причина головных болей у пожилого пациента
250

Классическим проявлением ГКА является головная боль в височной области, тем не менее, гетерогенная симптоматика и наличие сопутствующих заболеваний у некоторых пациентов могут затруднить диагностический поиск. В журнале Case Reports in Rheumatology был представлен клинический случай ГКА у пожилого пациента со сложным неврологическим анамнезом, когда лишь комплексный междисциплинарный подход позволил поставить диагноз и начать правильное лечение.

Описание клинического случая

76-летний мужчина обратился жалобами на отек, боль и чувство жжения в языке, а также тупую ноющую головную боль справа, которая не сопровождалась мигренозной аурой, тошнотой или рвотой. Головная боль имела стреляющий характер, а во время приступа наблюдалось повышение чувствительности кожи головы. Пациент отметил проблемы с равновесием, например, ощущение неустойчивости при подъеме по лестнице, а также снижение слуха и ощущение заложенности в обоих ушах.

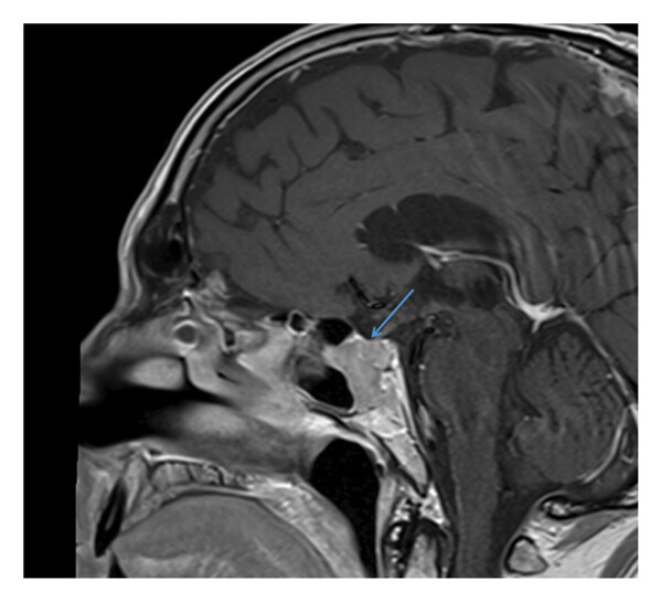
Пациенту была проведена аудиограмма, которая подтвердила прогрессирующее снижение слуха справа, и лабораторные исследования: общий и биохимический анализ крови, содержание витамина B12, фолиевой кислоты, цинка и тиреотропного гормона (без отклонений). На МРТ головы было обнаружено образование в области передней части турецкого седла и ската черепа, без компрессии зрительного перекреста (рис.1).

Рисунок 1. МРТ-снимок головного мозга в саггитальной плоскости. Синяя стрелка указывает на образование в передней части турецкого седла без компрессии зрительного перекреста с инвазией в кавернозные синусы.

Дифференциальный диагноз включал аденому гипофиза, хордому или метастатическое поражение. С этой целью у пациента был исследован гормональный профиль (без отклонений) и проведено офтальмологическое обследование (без отклонений). КТ грудной клетки, брюшной полости и таза также не выявила злокачественных новообразований. Повторная МРТ выявила вестибулярную шванному справа размером 1,6 см и подтвердила наличие образования в передней части турецкого седла (рис. 2).

Рисунок 2. МРТ-снимок в аксиальной плоскости после введения контрастного вещества. Синяя стрелка указывает на правостороннюю вестибулярную шванному с внутриканальными и цистернальными компонентами. Значительное объемное воздействие на ствол головного мозга или среднюю ножку мозжечка не выявлено.

Пациенту было проведено радиохирургическое вмешательство с использованием гамма-ножа, но головные боли, проблемы с равновесием и слухом сохранились. Пациент отметил лишь некоторое улучшение в отношении слабости и онемения лицевых мышц. Ему был назначен амитриптилин и проведены две блокады затылочного нерва, но существенного уменьшения выраженности головных болей не произошло. Примерно через два года после первого обращения у него появились изменения зрения в виде «осколков стекла» справа. Головная боль приобрела более диффузный характер и появилась сильная усталость.

Он вновь обратился  за медицинской помощью. Повторная КТ не выявила каких-либо изменений, результаты лабораторных исследований также были в норме, за исключением показателей воспаления (СОЭ 65 мм/ч, СРБ 2,7 мг/дл). Пациенту были выполнены двусторонние биопсии височных артерий, с помощью которых удалось выявить выраженное лимфогистиоцитарное воспаление в интиме и медии сосудов, очаги нейтрофильного и эозинофильного воспаления, утолщение стенки артерии, фрагментацию эластических волокон и очаговый фибриноидный некроз стенки. Хотя гигантских клеток и гранулем обнаружено не было, пациенту был поставлен диагноз височного артериита.

Было назначено лечение  в виде внутривенного введения метилпреднизолона 1000 мг ежедневно в течение 3 дней, а после выписки – перорального приема преднизона 60 мг ежедневно. На контрольном осмотре у него было отмечено полное исчезновение головных болей, болезненности кожи головы и боли в челюсти при движении, хотя боль в языке какое-то время сохранялась. В качестве стероидсберегающего препарата был назначен тоцилизумаб внутривенно. В итоге, доза преднизона была снижена без рецидива симптомов, и в последующем состояние пациента оставалось стабильным.

Выводы авторов

Представленный случай указывает на трудности, которые могут возникнуть при диагностике ГКА, и одновременно на критическую важность своевременного выявления этого заболевания. У пациента наблюдались симптомы, связанные с вестибулярной шванномой и аденомой гипофиза (ухудшение слуха, нарушение равновесия, искажение ближнего поля зрения), что осложняло диагностический процесс. По этой причине считалось, что головная боль вызвана этими состояниями или одним из них. Хотя при вестибулярной шванноме головная боль обычно возникает из-за компрессии мостомозжечкового угла и описывается как тупая, постоянная и локализованная в заушной или затылочной области, а при аденоме гипофиза боль связана с растяжением твердой мозговой оболочки или инвазией в кавернозный синус, локализована бифронтально и сопровождается дефицитом поля зрения или гормональными нарушениями. Важно, что пациент изначально жаловался на одностороннюю и колющую головную боль, которая затем приобрела характер двусторонней и распространилась на кожу головы. Это указывало, что боль не связана с образованиями в головном мозге.

Кроме того, было выявлено повышение уровня маркеров воспаления, перемежающаяся боль в языке и изменения зрения, а повторная МРТ не показала прогрессирования внутримозговых поражений. Лечение метилпреднизолоном, а затем преднизоном позволило купировать головную боль и болезненность кожи головы. Сложность данной клинической ситуации подчеркивает необходимость междисциплинарного подхода к ведению пациентов с симптомами, которые могут быть обусловлены разными заболеваниями. Такой подход имеет решающее значение для снижения риска осложнений, связанных с задержкой в ​​диагностике.

Справочная информация

Гигантоклеточный артериит (ГКА) представляет собой гранулематозный васкулит который поражает преимущественно крупные и средние артерии и обычно встречается у женщин старше 50 лет. Его распространенность в западных странах оценивается в 15–25 случаев на 100 000 человек в год. Наиболее распространенным клиническим признаком ГКА (67–75% пациентов) является внезапно возникшая головная боль в височной области. Среди других симптомов – боль в челюсти при движении, болезненность кожи головы, лихорадка, недомогание и снижение веса. Следует проявлять настороженность в отношении ГКА у пациентов с впервые возникшей головной болью или изменениями характера боли у пациентов, страдающих заболеваниями, которые сопровождаются мигренью.

Для диагностики применяют УЗИ кожи головы и МРТ сосудов височной области. Золотым стандартом остается биопсия височной артерии, хотя, как было показано в данном случае, наличие гигантских клеток не является обязательным условием для постановки диагноза. Лечение ГКА начинают незамедлительно, чтобы избежать таких осложнений, как необратимая слепота. В качестве терапии назначают кортикостероиды и препараты моноклональных антител к рецептору ИЛ-6 для постепенного снижения дозы и отмены преднизона. При ведении пациентов с ГКА крайне важно тесное сотрудничество между неврологами, нейрохирургами, ревматологами и офтальмологами.

 

Источник: Chhetri RCK, Paudel H, Kaja V, Saeed J, Nwaonu J, Bankole A. The Curious Case of Confounding Headaches. Case Rep Rheumatol. 2025 Sep 27;2025:2146010. doi: 10.1155/crrh/2146010. PMID: 41049766; PMCID: PMC12496153.

 

Другие статьи

Листай дальше, чтобы увидеть все статьи

Принципы диагностики синдрома Ади

Синдром Ади (синдром Холмса-Ади) – расстройство неизвестной этиологии, которое характеризуется диссоциацией реакций на свет и аккомодацию. Чаще ...
Читать статью

Гигантоклеточный артериит как причина головных болей у пожилого пациента

Гигантоклеточный артериит (ГКА) – распространенное заболевание среди лиц старше 50 лет (чаще женщин), которое поражает преимущественно крупные и...
Читать статью

Современные подходы к диагностике и лечению акромегалии

Акромегалия – редкое эндокринное заболевание, вызванное повышенной выработкой соматотропного гормона (СТГ). Ежегодно в мире регистрируется около...
Читать статью

Лагофтальм: основные принципы диагностики и лечения

Лагофтальм – нарушение функции смыкания век, вследствие чего глазная щель остается приоткрытой. Выделяют множество причин лагофтальма, среди кот...
Читать статью

Необычный случай проникающей травмы мочевого пузыря

Травмы мочевого пузыря – нередкое явление в клинической практике. Такие травмы классифицируют на тупые и проникающие, при этом, по разным оценка...
Читать статью

Диагностический поиск при острой анемии

Анемия – это состояние, которое характеризуется уменьшением количества эритроцитов и снижением уровня гемоглобина. В некоторых случаях патология...
Читать статью

Клинический случай компрессионной оптической нейропатии из-за аневризмы внутренней сонной артерии

Компрессионная оптическая нейропатия (КОН) — повреждение зрительного нерва вследствие его механического сдавления. Это редкое состояние, которое...
Читать статью

Синдром циклической рвоты в детском возрасте: актуальные подходы к лечению и профилактике

Синдром циклической рвоты – расстройство, которое характеризуется повторяющимися приступами изнурительной тошноты и рвоты, длящимися от нескольк...
Читать статью

Дифференциальная диагностика вирусных экзантем у детей

Вирусные экзантемы – частая ситуация в практике педиатра. Большинство их них могут быть дифференцированы клинически на основе анамнеза, локализа...
Читать статью

Молниеносные угри: современный взгляд на проблему

Молниеносная угревая сыпь – тяжелый вариант угревой сыпи, который преимущественно встречается у подростков мужского пола и молодых мужчин. Терми...
Читать статью