Наиболее часто проникающие травмы мочевого пузыря развиваются при локализации источника повреждения в области передней брюшной стенки, прямой кишки и ягодиц. Тем не менее, в журнале BMC Urology был описан клинический случай проникающей травмы мочевого пузыря через внутреннюю поверхность бедра, которая осложнилась образованием везикокожного свища.
Описание клинического случая
Пациентка 16 лет обратилась с жалобами на незаживающую рану на внутренней поверхности правого бедра, которая беспокоила ее 1,5 года. Травма появилась после падения с двухъярусной деревянной кровати в школе-интернате, где проживала пациентка. После падения рана зажила в течение нескольких дней, но позднее в этой области стали периодически появляться гнойные выделения и отек. Ей дважды дренировали рану, но безрезультатно. В этот период мочеиспускание, стул и аппетит были в норме, снижения веса также не наблюдалось. У пациентки периодически повышалась температура до субфебрильных цифр, но в анамнезе отсутствовали данные в пользу сахарного диабета, артериальной гипертензии и злокачественных новообразований.
Во время осмотра пациентка была в сознании, температура и цвет кожи у нее были в норме, признаков обезвоживания или истощения также не было. В верхней части внутренней стороны правого бедра был обнаружен свищ размером 1х1 см с гнойным содержимым, гранулематозными краями, окруженный рубцовой тканью (рис. 1).
Рисунок 1. Фотография, сделанная во время первичного осмотра, на которой заметен свищ с истечением гноя (стрелка), окруженный рубцовой тканью.
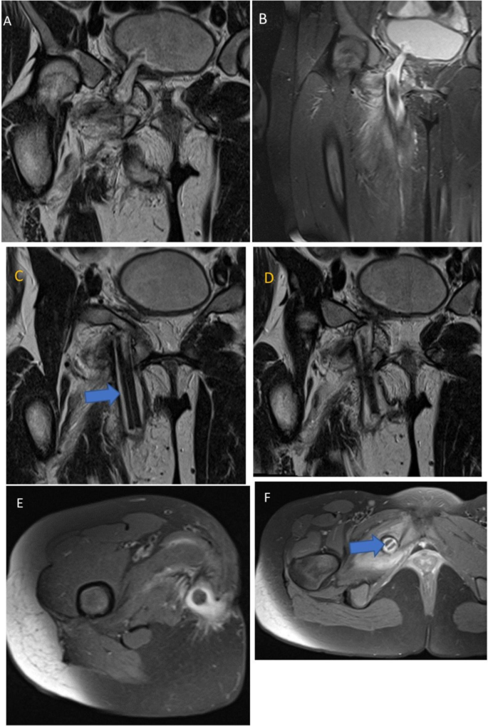
Рентгенография костей таза не выявила отклонений. В свою очередь, МРТ таза показала свищевой ход длиной около 10 см, в котором находилось инородное тело, проникающее в правую боковую стенку мочевого пузыря. Оно проходило через гребенчатую, длинную, короткую и большую приводящие, тонкую мышцы бедра, образуя везико-кожный свищ (рис. 2).
Рисунок 2. МРТ-снимки таза и верхней части правого бедра, на которых заметен свищевой ход длиной 10 см с инородным телом, проникающим в правую боковую стенку мочевого пузыря (A,B). Инородное тело проходит через внутреннюю и наружную запирательные мышцы, большую приводящую и тонкую мышцы бедра и выходит с внутренней стороны правого бедра (D,E). Также заметно инородное тело в свищевом ходу (E, F; синяя стрелка).
Согласно лабораторным исследованиям сыворотки крови, уровень гемоглобина составил 11,5 г/дл, креатинина – 43 ммоль/л, мочевины – 1,95 ммоль/л, калия и натрия – в пределах нормы. Во время цистоскопии было выявлено плотное и легко повреждаемое образование размером 2х2 см, расположенное на уровне «10 часов» примерно в 5 см от мочепузырного треугольника. После его удаления с помощью монополярного резектоскопа было обнаружено отверстие в стенке мочевого пузыря. Пациентке был установлен двухходовой катетер Фолея Ch/Fr16, а образцы ткани – отправлены на гистологическое исследование, которое показало признаки пиогенной гранулемы (рис. 3).
Рисунок 3. A: Снимок, полученный во время цистоскопии, который показывает образование в стенке мочевого пузыря на уровне «10 часов». B: Снимок, полученный во время ТУР. C: Образец гистологического исследования, который демонстрирует признаки пиогенной гранулемы с выраженной васкуляризацией, изъязвлением и дольчатой структурой (ГЭ; 40×). D: Образец гистологического исследования, который показывает наличие воспалительного инфильтрата, состоящего из нейтрофилов, лимфоцитов и плазматических клеток (ГЭ; 100×).
Далее с помощью щипцов было извлечено инородное тело, которое оказалось деревянной щепкой длиной около 7 см и диаметром 6 мм (рис. 4). Свищевой ход был очищен и промыт, а после остановки кровотечения на рану была наложена асептическая повязка. Гистологическое исследование ткани из свищевого хода подтвердило наличие пиогенной гранулемы и отсутствие признаков метастазирования.
Рисунок 4. Фотографии, полученные во время извлечения инородного тела из свищевого хода.
После операции пациентке были назначены сидячие ванны, курс антибиотиков и анальгетиков. У нее не наблюдалось истечения жидкости или мочи из свища и других осложнений. На 21-й день после операции уретральный катетер был удален, а ее состояние продолжило улучшаться (рис. 5).
Рисунок 5. Фотография, демонстрирующая заживление свища (синяя стрелка).
Выводы авторов
Данный клинический случай уникален тем, что у пациентки не было признаков травмы мочевого пузыря. Кроме того, проникновение инородного тела через верхнюю часть внутренней поверхности бедра – крайне редкое явление. Из-за этого диагноз был поставлен только через 1,5 года. Важно, что у пациентки не было недержания мочи, вероятно, потому что свищевой ход был заблокирован инородным телом. Клиницисту необходимо помнить о риске повреждения мочевого пузыря и связанных с ним осложнений, в том числе отсроченного формирования свища, у пациента с проникающей травмой данной локализации.
Справочная информация
Травмы мочевого пузыря можно разделить на тупые и проникающие (первый вариант встречается чаще). Клинически травмы мочевого пузыря могут проявляться болью в надлобковой области, задержкой мочи, гематурией и симптомами раздражения брюшины. В качестве места проникновения обычно выступают брюшная полость, промежность, прямая кишка, ягодицы или таз. Осложнения травм мочевого пузыря – это стойкая гематурия, инфекция (сепсис) и недержание мочи из-за образования свища. Наиболее распространенной причиной проникающих травм мочевого пузыря являются огнестрельные ранения (80% случаев). К другим причинам относятся колотые раны, переломы костей таза и изолированные повреждения мочевого пузыря вследствие ятрогенных вмешательств. При подозрении на травму мочевого пузыря следует проводить рентгенографию мочевого пузыря или КТ области таза. Степень повреждения мочевого пузыря при травмах следует оценивать по шкале Американской ассоциации хирургов-травматологов (AAST).
Кожный свищ области бедра имеет различные причины: обширный перелом таза, тазовый абсцесс, гигантский камень в мочевом пузыре, осложнения лучевой терапии области таза или операции по эндопротезированию тазобедренного сустава. Таким образом, он возникает как реакция на инородное тело. В то же время, везикокожные свищи редко развиваются в области бедра. Чаще они выходят через промежность, мошонку, ягодицы или подвздошную кишку. Для диагностики простых свищей достаточно проведения цистоуретрографии, в более сложных случаях могут потребоваться КТ или МРТ. Лечение этого типа свища зависит от выраженности симптомов, особенностей расположения и его причины. Жизненное важное значение имеет отведение мочи для снижения давления в мочевом пузыре (для этого требуется длительная установка мочевого катетера). Иногда требуется хирургическое иссечение фистулы, в том числе с использованием мышечно-кожного лоскута.
Источник: Lodhia, J., Mremi, A., Robert, B. et al. An unusual presentation of penetrating bladder injury with vesicocutaneous fistula: a case report. BMC Urol 23, 80 (2023). https://doi.org/10.1186/s12894-023-01254-1.















