Компрессионная оптическая нейропатия (КОН), помимо снижения зрения, может сопровождаться рядом других симптомов, обусловленных расположением зрительного нерва. Причины КОН разнообразны и включает опухоли, аневризмы, заболевания щитовидной железы и воспалительный отек. В журнале Case Reports in Ophthalmology Medicine был описан клинический случай КОН, связанный с аневризмой внутренней сонной артерии.
Описание клинического случая
Пациентка 66 лет обратилась в клинику для планового осмотра по поводу длительно протекающей первичной открытоугольной глаукомы. За несколько месяцев до этого ее беспокоили головные боли, которые исчезли без лечения. Также за 3–4 месяца до визита она заметила снижение зрения. Во время приема острота зрения с коррекцией снизилась с 20/30 до 20/200 на правом глазу (OD) и с 20/20 до 20/30 на левом глазу (OS) по сравнению с предыдущим осмотром, проведенным 6 месяцев назад. Внутриглазное давление (ВГД) оставалось под контролем (13 мм рт. ст. OD и 14 мм рт. ст. OS) на фоне закапывания глазных капель с тимололом 0,5% дважды в день в правый глаз и с латанопростом на ночь в оба глаза.
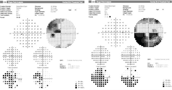
ОКТ внутренних слоев сетчатки показала стабильную глаукоматозную атрофию, выраженность которой не изменилась по сравнению с первичным обследованием. У пациентки отсутствовал относительный афферентный зрачковый дефект, но в процессе периметрии было обнаружено прогрессирующее сужение полей зрения на обоих глазах: в верхнем височном квадрате на левом глазу и нижней половине на правом глазу (рис. 1).
Рисунок 1. Сужение поля зрения в верхнем височном квадрате левого глаза и нижней половине правого глаза.
Пациентке была проведена МРТ головного мозга, которая показала крупную аневризму супраклиноидного отдела правой внутренней сонной артерии. Это сосудистое образование привело к деформации дна и передней стенки третьего желудочка, а также повреждению зрительных нервов, особенного правого (рис. 2).
Рисунок 2. Расположенное супраселлярно объемное образование, которое соответствует аневризме супраклиноидного отдела правой внутренней сонной артерии и вызывает компрессию обоих зрительных нервов и переднего колена хиазмы, более выраженную справа.
Пациентка была экстренно направлена на процедуру эмболизации и стентирования аневризмы. Контрольная периметрия через 2,5 недели после вмешательства показала сужение поля зрения в верхнем и нижнем височных квадратах на левом глазу и концентрическое сужение поля зрения на правом глазу (рис. 3).
Рисунок 3. Сужение поля зрения в верхнем и нижнем височных квадратах на левом глазу и концентрическое сужение поля зрения на правом глазу
Выводы авторов
Данный случай иллюстрирует необычное проявление двусторонней КОН, вторичной по отношению к крупной аневризме супраклиноидного отдела правой внутренней сонной артерии. Относительный афферентный зрачковый дефект, характерный для этой патологии, отсутствовал из-за двусторонней локализации поражения. Результаты периметрии указали на возможное отсутствие связи прогрессирующего ухудшения зрения с глаукомой и побудили к проведению нейровизуализации, с помощью которой удалось обнаружить очаг повреждения в области хиазмы. Это подтверждает важность оценки всех факторов, которые могут вызвать ухудшение зрения.
Справочная информация
Ухудшение зрения у пациентов с глаукомой может быть связано как с основным заболеванием, так и повреждением зрительного нерва. Характерным признаком оптиконейропатии является относительный афферентный зрачковый дефект, который, тем не менее, отсутствует в 35% случаев. При таком варианте особенно важно правильно оценить результаты периметрии, которые могут указать на локализацию поражения и необходимость визуализации. Ранняя диагностика КОН имеет решающее значение для предотвращения необратимой слепоты, так как в некоторых случаях она может развиться произойти всего за 2 часа от начала компрессии. Лечение КОН варьируется в зависимости от причины сдавления зрительного нерва. Пациентам с аневризмой сонной артерии обычно проводят ее эмболизацию, с опухолями или травмой – назначают лучевую терапию или хирургическое вмешательство.
Источник: Boyes DS, Bashir K, Skarie JM, Chenevey RE. A Unique Case of Compressive Optic Neuropathy From an Internal Carotid Artery Aneurysm. Case Rep Ophthalmol Med. 2025 Oct 25;2025:6458555. doi: 10.1155/crop/6458555. PMID: 41181377; PMCID: PMC12579560.













